|
種屬 |
人 |
|
別稱 |
Panc-05.04; Panc_05_04; Panc05.04; Panc 5.04; Panc5.04; PANC0504; Panc0504; Pa18C; PL-18; PL18 |
|
組織來源 |
胰腺 |
|
疾病 |
胰腺導管腺癌 |
|
傳代比例/細胞消化 |
1:2傳代,消化3-5分鐘 |
|
完全培養基配置 |
RPMI1640培養基;15%胎牛血清; 0.01mg/ml重組人胰島素; 1%雙抗 |
|
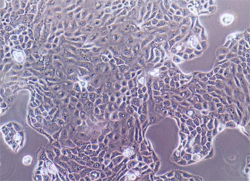
簡介 |
panc05.04是1995年從一名患有胰腺癌的女性胰腺頭部切除的原發性腫瘤中分離出來的胰腺癌上皮細胞系。 |
|
形態 |
上皮細胞樣 |
|
生長特征 |
貼壁生長 |
|
倍增時間 |
每周 2 至 3 次 |
|
基因表達 |
cytokeratin 7; cytokeratin 18; K-ras+; MHC class I+; MHC class II-; blood type B; Rh+ |
|
抗原表達 |
MHC class I +; MHC class II - Ref Blood type B; Rh+ |
|
致瘤性 |
Yes, forms tumors in nude or SCID mice |
|
STR |
Amelogenin X CSF1PO 12,13 D3S1358 14,16 D5S818 12,13 D7S820 9,12 D8S1179 11,13 D13S317 10,12 D16S539 9,11 D18S51 14 D21S11 28,33.2 FGA 19,23 Penta D 7,9 Penta E 5,18 TH01 6,9.3 TPOX 8,9 vWA 15,20 |
|
培養條件 |
氣相:空氣,95%;二氧化碳,5%。 溫度:37攝氏度,培養箱濕度為70%-80%。 |
|
凍存條件 |
凍存液:90%FBS,DMSO 10%, 或使用非程序凍存液:官網貨號JY-H040 |
|
保藏機構 |
ATCC; CRL-2557 |
|
產品使用 |
僅限于科學研究,不可作為動物或人類疾病的治療產品使用。 |
