|
種屬 |
人 |
|
別稱 |
PL-45; PL 45 |
|
組織來源 |
胰腺 |
|
疾病 |
胰腺導管腺癌 |
|
傳代比例/細胞消化 |
1:2傳代,消化1-2分鐘 |
|
完全培養基配置 |
DMEM培養基;10%胎牛血清; 1%雙抗 |
|
簡介 |
該細胞有hela交叉污染 |
|
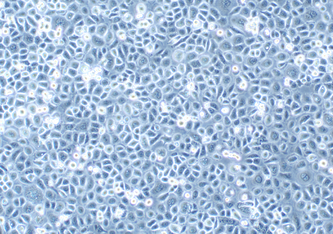
形態 |
上皮細胞樣 |
|
生長特征 |
貼壁生長 |
|
倍增時間 |
每周 2 至 3 次 |
|
|
Amelogenin X CSF1PO 12 D3S1358 14 D5S818 13 D7S820 8,9 D8S1179 13,14 D13S317 12 D16S539 9,12 D18S51 15 D21S11 30 FGA 20 Penta D 12 Penta E 11,13 TH01 6,9.3 TPOX 11 vWA 16 |
|
培養條件 |
氣相:空氣,95%;二氧化碳,5%。 溫度:37攝氏度,培養箱濕度為70%-80%。 |
|
凍存條件 |
凍存液:90%FBS,DMSO 10%, 或使用非程序凍存液:官網貨號JY-H040 |
|
保藏機構 |
ATCC;CRL-2558 |
|
產品使用 |
僅限于科學研究,不可作為動物或人類疾病的治療產品使用。 |
