|
種屬 |
人 |
|
別稱 |
ARH 77; ARH77 |
|
組織來源 |
外周血,B淋巴細胞母細胞 |
|
疾病 |
漿細胞白血病 |
|
傳代比例/細胞消化 |
1:2傳代 |
|
完全培養基配置 |
RPMI1640培養基;10%胎牛血清;1%雙抗 |
|
簡介 |
從一名33歲的IgG漿細胞白血病婦女的外周血中建立;細胞系被廣泛用作多發性骨髓瘤/漿細胞白血病的模型,但細胞呈EBV明顯,表明ARH-77可能是一種“正常”的B淋巴細胞母細胞系,而不是腫瘤細胞系 |
|
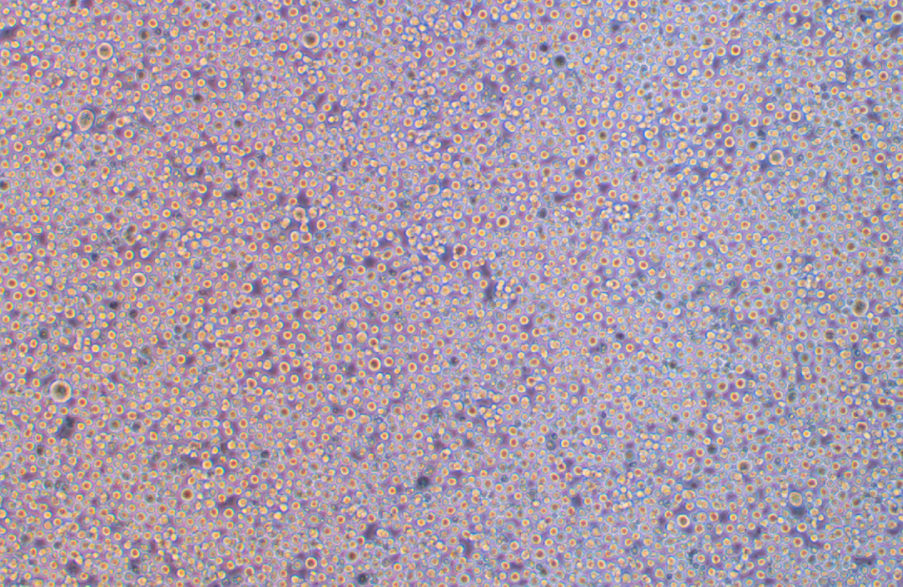
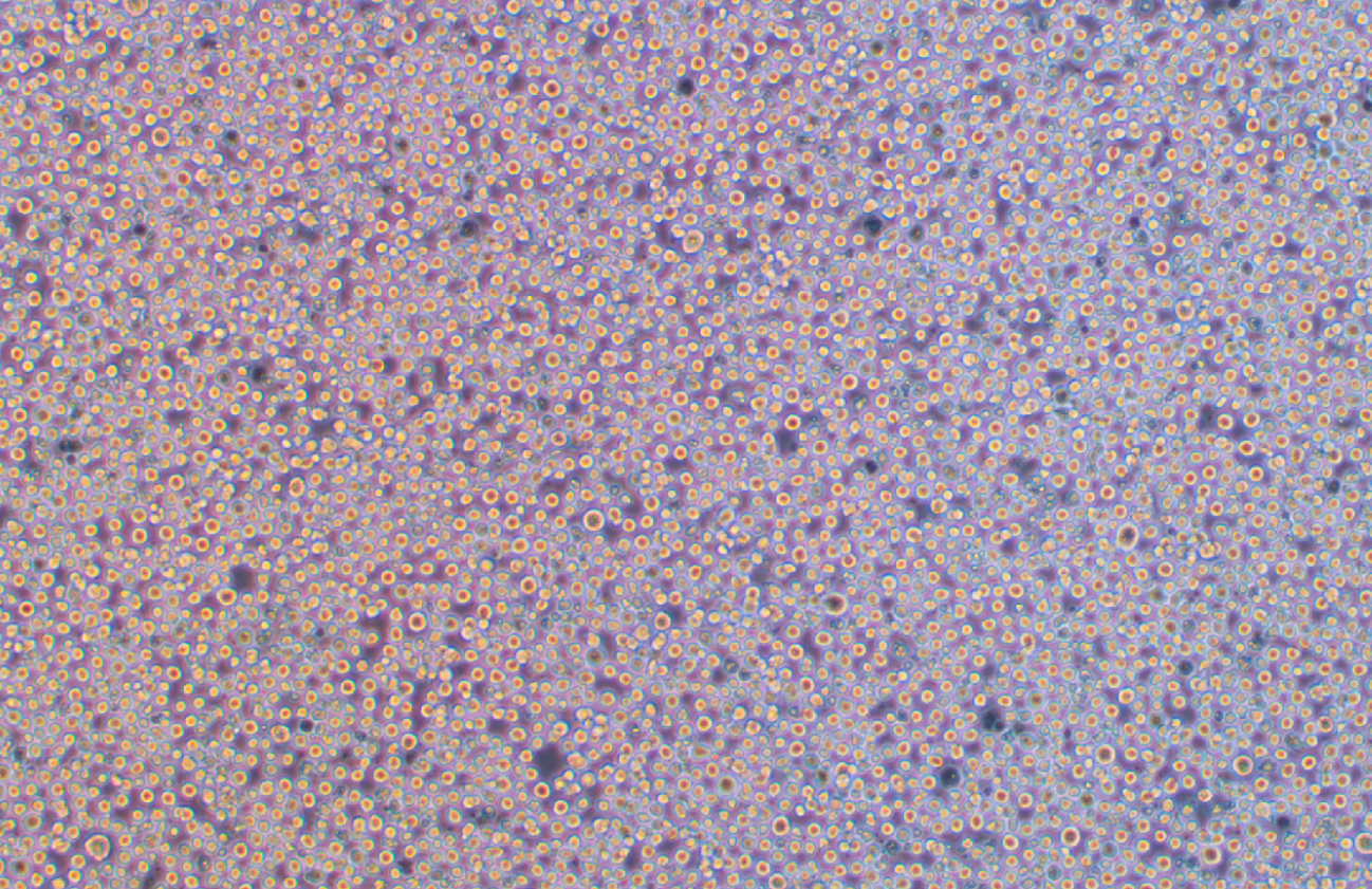
形態 |
淋巴母細胞樣 |
|
生長特征 |
懸浮生長 |
|
倍增時間 |
每周 2 至 3 次 |
|
抗原表達 |
CD11a +; CD19 +; CD20 +; CD28 +; CD38 -; CD49e + |
|
STR |
D5S818: 10,13 D13S317: 11,13 D7S820: 7,12 D16S539: 9,13 vWA: 17 THO1: 8,9.3 Amelogenin: X TPOX: 8 CSF1PO: 6,10 |
|
培養條件 |
氣相:空氣,95%;二氧化碳,5%。 溫度:37攝氏度,培養箱濕度為70%-80%。 |
|
凍存條件 |
凍存液:90%FBS,DMSO 10%, 或使用非程序凍存液:官網貨號JY-H040 |
|
保藏機構 |
ATCC; CRL-1621 |
|
備注 |
該細胞為懸浮細胞,請注意離心收集細胞懸液,請勿直接倒掉細胞培養液。 |
|
產品使用 |
僅限于科學研究,不可作為動物或人類疾病的治療產品使用。 |


