|
種屬 |
人 |
|
別稱 |
Hela+luc |
|
組織來源 |
子宮;宮頸 |
|
疾病 |
宮頸腺癌 |
|
傳代比例/細胞消化 |
1:2傳代 ,消化2-3分鐘 |
|
完全培養基配置 |
RPMI1640培養基;10%胎牛血清;1%雙抗 |
|
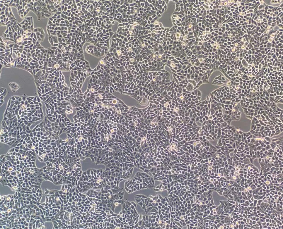
簡介 |
HeLa是第一個來自人體組織經連續培養獲得的非整倍體上皮樣細胞系 ,它由GeyGO等在1951年從31歲女性黑人的宮 頸癌組織建立。經原始組織切片重新觀察 ,Jones等將其診斷為腺癌。已知該細胞系含有人乳頭狀瘤病毒HPV18序 列 ,需在2級生物安全防護臺操作。該細胞角蛋白陽性 ,p53表達量較低 ,但表達正常水平的pRB(視網膜母細胞瘤抑 制因子)。 |
|
形態 |
上皮細胞樣 |
|
生長特征 |
貼壁生長 |
|
倍增時間 |
~32-48h |
|
基因表達 |
Lysophosphatidylcholine (lyso-PC) induces AP-1 activity and c-jun N-terminal kinase activity (JNK1) by a protein kinase C-independent pathway. The cells are positive for keratin by immunoperoxidase staining. |
|
STR |
Amelogenin:X;CSF1PO:9 ,10;D13S317:12 ,13.3;D16S539:9 ,10;D18S51 :16;D19S433: 13 ,14;D21S11:27 ,28;D2S1338:17;D3S1358:15 ,18;D5S818:11 ,12;D7S820:8 ,12; D8S1179:12 ,13;FGA:18 ,21;TH01:7;TPOX:8 ,12;vWA:16 ,18; |
|
培養條件 |
氣相:空氣 ,95% ;二氧化碳 ,5%。 溫度:37攝氏度 ,培養箱濕度為70%-80%。 |
|
凍存條件 |
凍存液:90%FBS ,DMSO 10%, 或使用非程序凍存液:官網貨號JY-H040 |
|
備注 |
該細胞是通過慢病毒轉染熒光素酶的穩轉株 ,收到細胞傳代8代左右后 ,若要求需要維持熒光強度 ,建議可以加入嘌呤 霉素進行再次篩選。 |
|
產品使用 |
僅限于科學研究 ,不可作為動物或人類疾病的治療產品使用。 |


