|
種屬 |
人 |
|
別稱 |
CFPac-1; CF PAC-1; CF-PAC1; CF-Pac1; CF Pac1; CFPAC1; CFPac1; CFPAC |
|
組織來源 |
源自轉移部位:肝臟 |
|
疾病 |
胰腺導管腺癌,囊性纖維化 |
|
傳代比例/細胞消化 |
1:2傳代,消化2-3分鐘 |
|
完全培養基配置 |
IMDM培養基;10%胎牛血清;1%雙抗 |
|
簡介 |
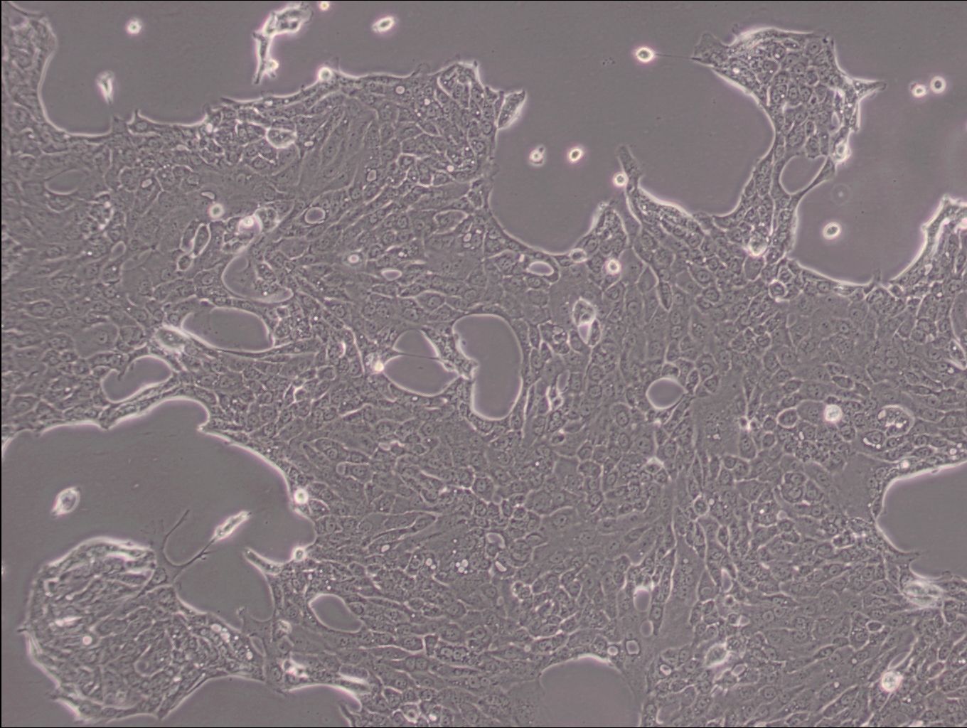
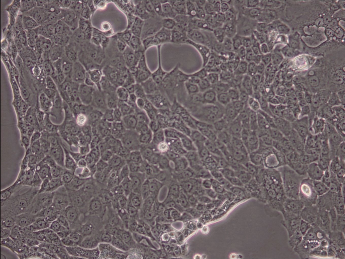
CFPAC-1是胰腺管腺癌細胞系,建自26歲白人男性囊性纖維變性(CF)的肝轉移灶。 該細胞系表達囊性纖維變性跨膜調節因子(CFTR)。 形態為上皮樣且頂端微絨毛極化。該細胞表達胰腺管細胞特征性的細胞角蛋白和癌胚抗原。倍增時間為30-32小時。 它是亞3倍體的細胞系,36%的細胞的染色體模式數為75。 該細胞傳代至24代時在無胸腺小鼠中致瘤 |
|
形態 |
上皮細胞樣 |
|
生長特征 |
貼壁生長 |
|
倍增時間 |
~30-45h |
|
STR |
Amelogenin: X,Y CSF1PO: 10 D13S317: 12 D16S539: 9,11 D5S818: 10,11 D7S820: 8,10 TH01: 8 TPOX: 8 vWA: 17 |
|
培養條件 |
氣相:空氣,95%;二氧化碳,5%。 溫度:37攝氏度,培養箱濕度為70%-80%。 |
|
凍存條件 |
凍存液:90%FBS,DMSO 10%, 或使用非程序凍存液:官網貨號JY-H040 |
|
保藏機構 |
ATCC; CRL-1918 |
|
產品使用 |
僅限于科學研究,不可作為動物或人類疾病的治療產品使用。 |


