|
種屬 |
小鼠 |
|
組織來源 |
正常骨髓血組織 |
|
傳代比例 |
1:2傳代 |
|
完全培養基配置 |
基礎培養基500ml;生長添加劑5ml;胎牛血清50ml;雙抗5ml |
|
簡介 |
骨髓間充質干細胞是骨髓基質干細胞,對骨髓中的造血干細胞(HSC)不僅有機械支持作用,還能分泌多種生長因子(如IL-6,IL-11,LIF,M-CSF及SCF等)來支持造血。骨髓間充質干細胞(bone mesenchymal stem cells,BMSCs)具有多向分化潛能,能促進間充質組織的再生,如:骨、軟骨、肌肉、韌帶、肌腱、脂肪及基質等組織。在骨髓中,BMSCs占骨髓有核細胞總數的0.001%~0.1%,含量極低。而同時,由于組織工程需要大量的種子細胞,從嚙齒類動物骨髓分離BMSCs的技術上的難度限制了許多實驗的開展。體外分離培養純度高、活力強、生物特性均一的BMSCs對組織工程及細胞的體內、體外實驗顯得至關重要。 |
|
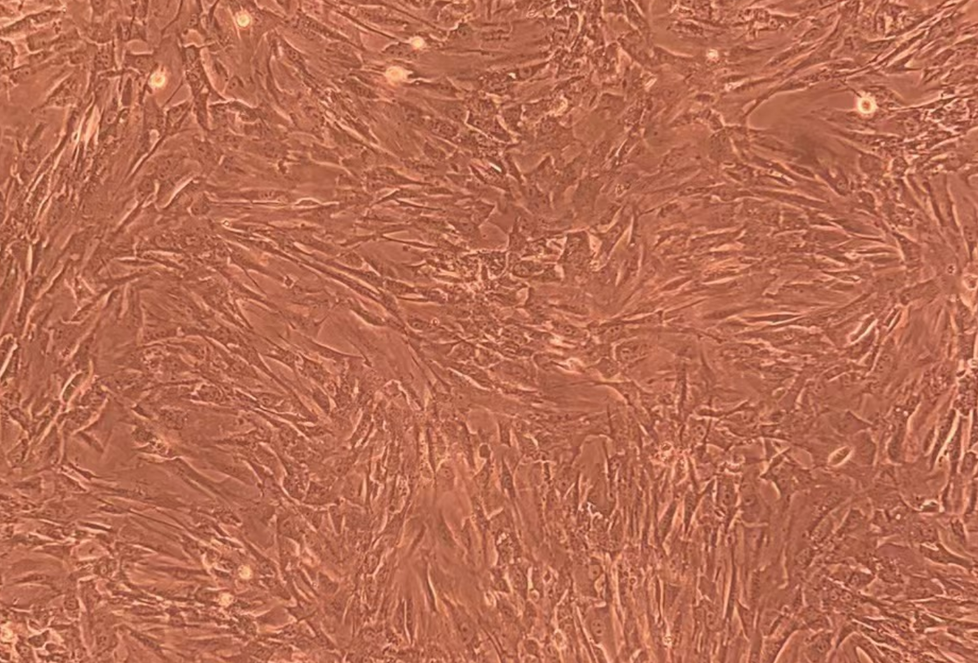
形態 |
長梭形細胞樣,不規則細胞樣 |
|
生長特征 |
貼壁生長 |
|
細胞檢測 |
CD44免疫熒光染色為陽性免疫熒光鑒定,細胞純度可達90%以上,不含有HIV-1、HBV、HCV、支原體、細菌、酵母和真菌等。 |
|
倍增時間 |
每周 2 至 3 次 |
|
換液頻率 |
2-3天換液一次 |
|
培養條件 |
氣相:空氣,95%;二氧化碳,5%。 溫度:37攝氏度,培養箱濕度為70%-80%。 |
|
凍存條件 |
凍存液:90%FBS,DMSO 10%, 或使用非程序凍存液:官網貨號JY-H040 |
|
產品使用 |
僅限于科學研究,不可作為動物或人類疾病的治療產品使用。 |
