|
種屬 |
人 |
|
別稱 |
EJ1 |
|
組織來源 |
膀胱 |
|
疾病 |
膀胱癌 |
|
傳代比例/細胞消化 |
1:2傳代,消化1-2分鐘 |
|
完全培養基配置 |
MEM培養基;10%胎牛血清;1%雙抗 |
|
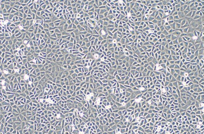
形態 |
上皮細胞樣 |
|
生長特征 |
貼壁生長 |
|
倍增時間 |
~20-48h |
|
STR |
Amelogenin X CSF1PO 10,12 D5S818 10,12 D7S820 10,11 D8S1179 14 D13S317 12 D16S539 9 D18S51 16,18 D21S11 29 FGA 17,22 TH01 6 TPOX 8,11 vWA 17 |
|
培養條件 |
氣相:空氣,95%;二氧化碳,5%。 溫度:37攝氏度,培養箱濕度為70%-80%。 |
|
凍存條件 |
凍存液:90%FBS,DMSO 10%, 或使用非程序凍存液:官網貨號JY-H040 |
|
產品使用 |
僅限于科學研究,不可作為動物或人類疾病的治療產品使用。 |
