|
種屬 |
人 |
|
別稱 |
KYSE 450; KYSE450; Kyse450 |
|
組織來源 |
食管 |
|
疾病 |
食管鱗狀細胞癌 |
|
傳代比例/細胞消化 |
1:2傳代,消化2-3分鐘。 |
|
完全培養基配置 |
RPMI1640培養基44.5% 和Ham's F-12培養基44.5%;優質胎牛血清,10%; 雙抗 1% |
|
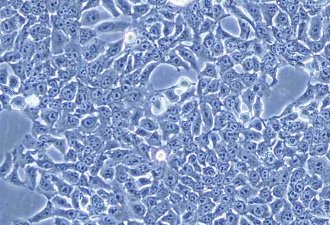
簡介 |
該細胞由治療前從一名59歲男性的中段胸內食管切除的高分化浸潤性鱗狀細胞癌建立(浸潤深度不超過粘膜下層); 被描述為攜帶p53突變和癌基因MYC的擴增。 |
|
形態 |
上皮細胞樣 |
|
生長特征 |
貼壁生長 |
|
STR |
Amelogenin X CSF1PO 11,12 D2S1338 19,23 D3S1358 18 D5S818 10,13 D7S820 11,12 D8S1179 10 D13S317 11 D16S539 9 D18S51 13 D19S433 13,15 D21S11 30 FGA 24 Penta D 9,10 Penta E 11,16 TH01 8,9 TPOX 8 vWA 14 |
|
倍增時間 |
每周 2-3次 |
|
培養條件 |
氣相:空氣 ,95% ;二氧化碳 ,5%。 溫度:37攝氏度 ,培養箱濕度為70%-80%。 |
|
凍存條件 |
凍存液:90%FBS ,DMSO 10%, 或使用非程序凍存液:官網貨號JY-H040 |
|
保藏機構 |
DSMZ;ACC-387 |
|
產品使用 |
僅限于科學研究 ,不可作為動物或人類疾病的治療產品使用。 |





