|
種屬 |
小鼠 |
|
別稱 |
HEP-53.4; 53.4 |
|
組織來源 |
肝臟 |
|
疾病 |
肝癌 |
|
傳代比例/細胞消化 |
1:2傳代,消化2-3分鐘。 |
|
完全培養基配置 |
DMEM培養基;10%胎牛血清;1%雙抗 |
|
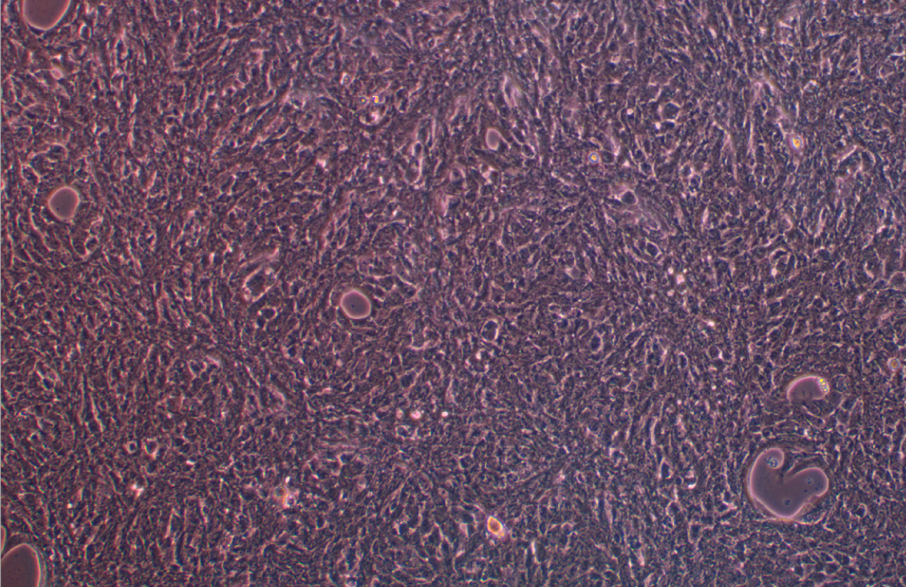
簡介 |
Hep-53.4 細胞是源自 C57BL/6J 小鼠模型中肝細胞癌的小鼠來源細胞系。這些細胞在肝細胞癌(最常見的肝癌類型之一)的研究中特別有用。通過提供一致、可重復的模型系統,Hep-53.4 細胞使研究人員能夠深入研究肝臟特有的癌癥生物學的復雜性。這包括探索致癌途徑、基因修飾的影響以及細胞環境在癌癥進展中的作用。 |
|
形態 |
上皮細胞樣 |
|
生長特征 |
貼壁生長 |
|
倍增時間 |
每周 2-3次 |
|
培養條件 |
氣相:空氣,95%;二氧化碳,5%。 溫度:37攝氏度,培養箱濕度為70%-80%。 |
|
凍存條件 |
凍存液:90%FBS,DMSO 10%, 或使用非程序凍存液:官網貨號JY-H040 |
|
保藏機構 |
CLS; 400200 |
|
產品使用 |
僅限于科學研究,不可作為動物或人類疾病的治療產品使用。 |


