|
種屬 |
人 |
|
別稱 |
DBTRG.05MG; DBTRG05MG; DBTRG |
|
組織來源 |
大腦 |
|
疾病 |
膠質母細胞瘤 |
|
傳代比例/細胞消化 |
1:2傳代,消化2-3分鐘。 |
|
完全培養基配置 |
DMEM培養基;10%胎牛血清;1%雙抗 |
|
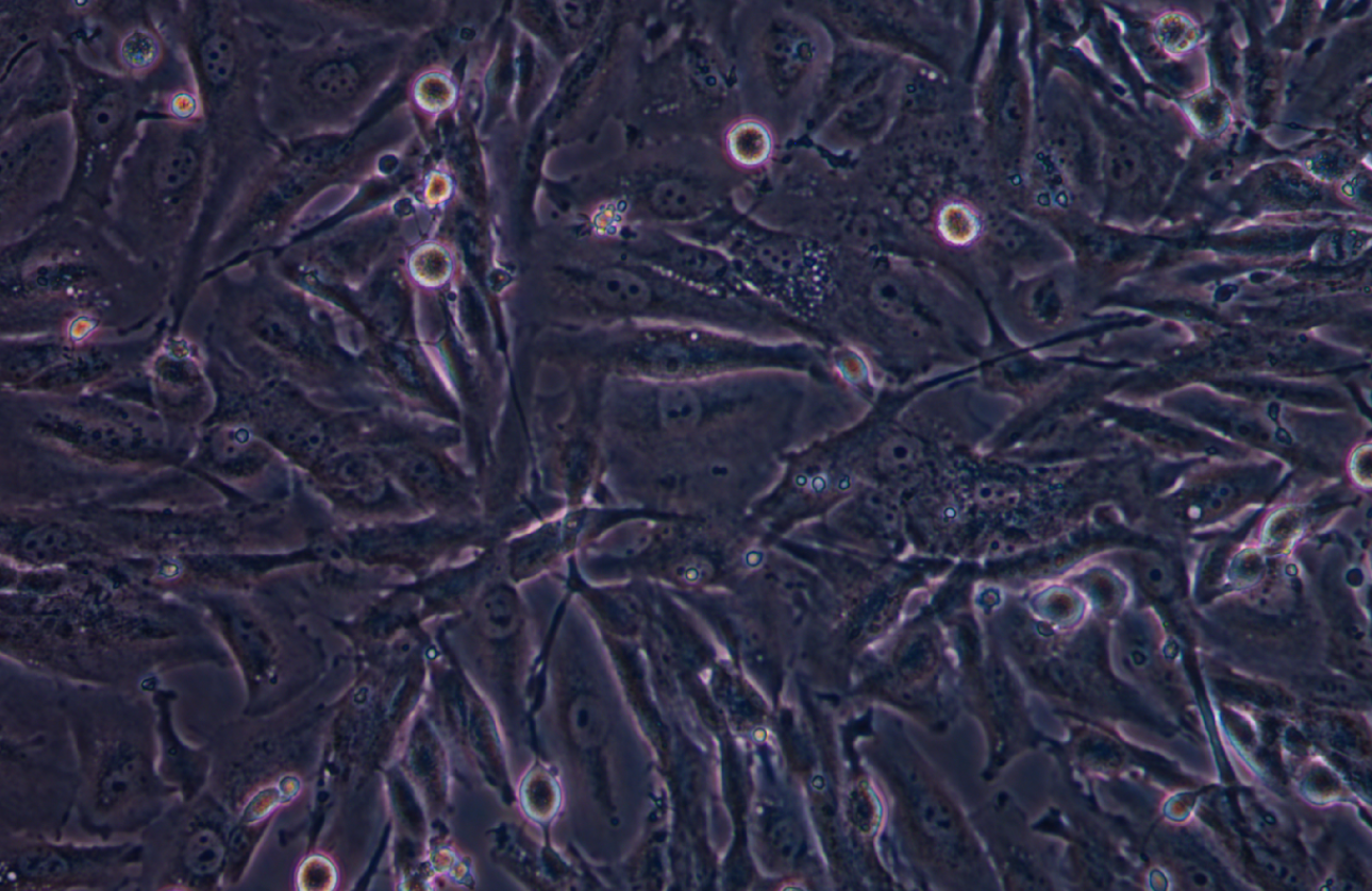
簡介 |
DBTRG-O5MG(丹佛腦腫瘤研究組05)細胞系是從一名多形性膠質母細胞瘤患者的組織中建立的,該患者接受了局部腦照射和多藥化療。 |
|
形態 |
成纖維細胞樣 |
|
生長特征 |
貼壁生長 |
|
STR |
Amelogenin: X CSF1PO: 10,11 D13S317: 9 D16S539: 10,12 D5S818: 12,13 D7S820: 11 TH01: 7,8 TPOX: 8 vWA: 15,16 D3S1358: 14,15 D21S11: 29,31.2 D18S51: 12,16 Penta_E: 11 Penta_D: 9,13 D8S1179: 13 FGA: 22,25 D19S433: 13 D2S1338: 23,24 |
|
倍增時間 |
每周 2-3次 |
|
培養條件 |
氣相:空氣,95%;二氧化碳,5%。 溫度:37攝氏度,培養箱濕度為70%-80%。 |
|
凍存條件 |
凍存液:90%FBS,DMSO 10%, 或使用非程序凍存液:官網貨號JY-H040 |
|
保藏機構 |
ATCC; CRL-2020 |
|
產品使用 |
僅限于科學研究,不可作為動物或人類疾病的治療產品使用。 |


