|
種屬 |
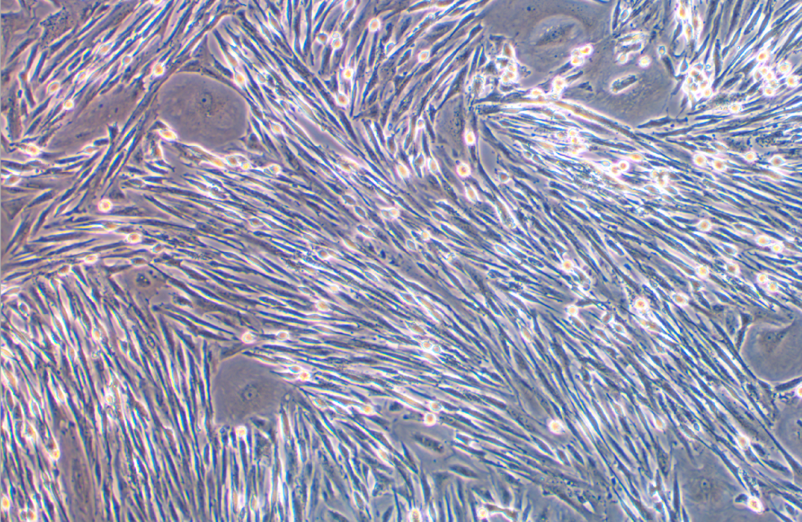
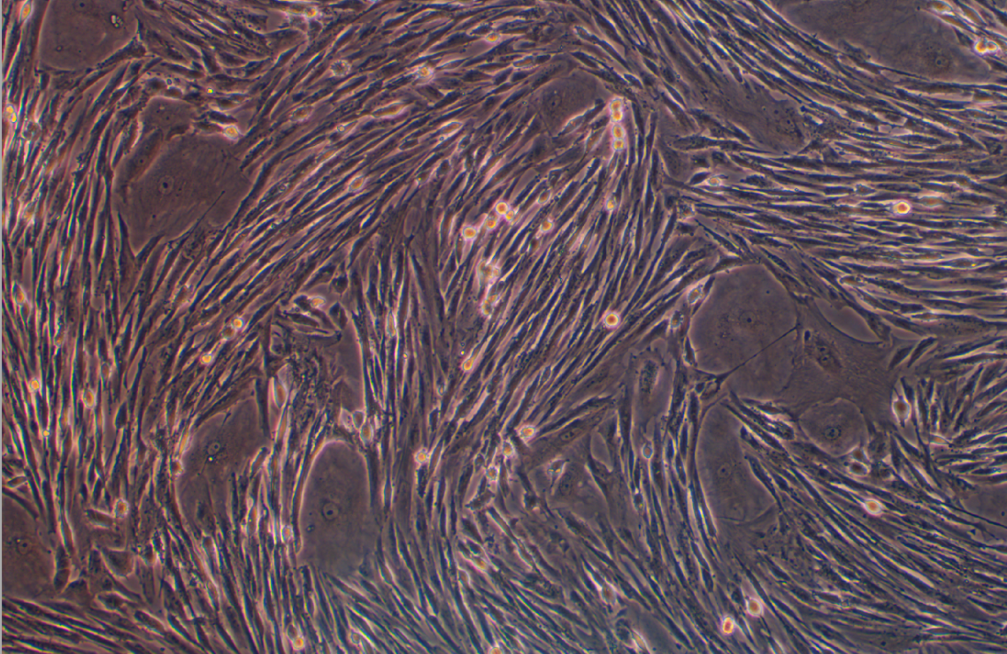
狗 |
|
組織來源 |
正常肺組織 |
|
傳代比例 |
1:2傳代 |
|
完全培養基配置 |
基礎培養基500ml;生長添加劑5ml;胎牛血清50ml;雙抗5ml |
|
簡介 |
成纖維細胞是肺間質中含量最豐富的細胞種類。這些成纖維細胞與普通的相似 ,但也有其特有的特征 ,例如具有很長 的偽足和細胞間的間隙連接,肺成纖維細胞的主要功能為分泌肺泡隔基質中的III型膠原 ,彈性蛋白以及蛋白多糖 ,也在 肺部受損時擔任重要的修復和重建功能。肺部受傷后 ,在炎癥部位的一定程度的成纖維細胞積聚是肺部復原的關鍵步 驟 ,過多或者不足的成纖維細胞聚集都會導致肺功能異常。 |
|
形態 |
長梭形細胞樣 |
|
生長特征 |
貼壁生長 |
|
細胞檢測 |
纖維連接蛋白( Fibronectin )免疫熒光染色為陽性免疫熒光鑒定 ,細胞純度可達90%以上 ,不含有HIV-1、HBV、 HCV、支原體、細菌、酵母和真菌等。 |
|
倍增時間 |
每周 2 至 3 次 |
|
換液頻率 |
2-3天換液一次 |
|
培養條件 |
氣相 :空氣 ,95% ;二氧化碳 ,5%。 溫度 :37攝氏度 ,培養箱濕度為70%-80%。 |
|
凍存條件 |
凍存液 :90%FBS ,DMSO 10%, 或使用非程序凍存液 :官網貨號JY-H040 |
|
產品使用 |
僅限于科學研究 ,不可作為動物或人類疾病的治療產品使用。 |


