|
種屬 |
小鼠 |
|
別稱 |
GC-1spg; GC-1; GC1-SPG |
|
組織來源 |
睪丸 |
|
疾病 |
轉化細胞系 |
|
傳代比例/細胞消化 |
1:2傳代,消化2-3分鐘 |
|
完全培養基配置 |
DMEM培養基;10%胎牛血清;1%雙抗 |
|
|
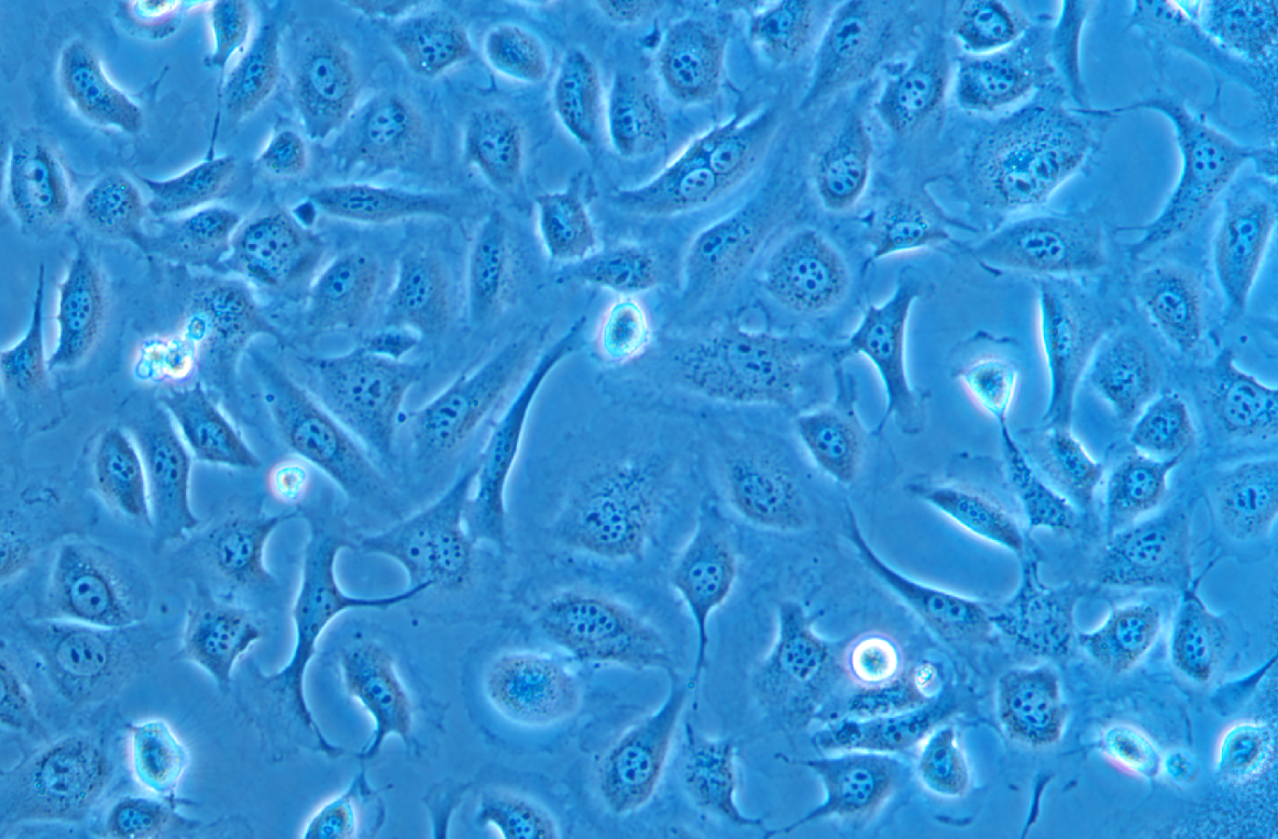
該細胞是B型精原細胞通過轉染pSV3-neo(含有SV40大T抗原和新霉素耐藥編碼序列的質粒)而產生的永生化,細胞表達兩種睪丸特異性異蛋白,細胞色素c和乳酸脫氫酶C4。 |
|
形態 |
神經元細胞樣 |
|
生長特征 |
貼壁生長 |
|
倍增時間 |
每周 2 至 3 次 |
|
培養條件 |
氣相:空氣,95%;二氧化碳,5%。 溫度:37攝氏度,培養箱濕度為70%-80%。 |
|
凍存條件 |
凍存液:90%FBS,DMSO 10%, 或使用非程序凍存液:官網貨號JY-H040 |
|
保藏機構 |
ATCC; CRL-2053 |
|
產品使用 |
僅限于科學研究,不可作為動物或人類疾病的治療產品使用。 |


