|
種屬 |
大鼠 |
|
別稱 |
IEC 18; IEC18; Intestinal Epithelioid Cell line No. 18 |
|
組織來源 |
小腸;回腸 |
|
疾病 |
正常 |
|
傳代比例/細胞消化 |
1:2傳代,消化2-3分鐘 |
|
完全培養基配置 |
DMEM培養基;10%胎牛血清; 0.01mg/ml牛胰島素 ;1%雙抗 |
|
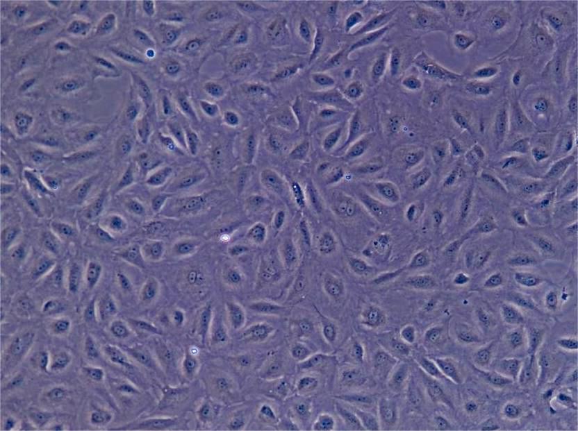
簡介 |
該細胞來源于大鼠腸上皮細胞。 |
|
形態 |
上皮細胞樣 |
|
生長特征 |
貼壁生長 |
|
倍增時間 |
每周 2 至 3 次 |
|
培養條件 |
氣相:空氣,95%;二氧化碳,5%。 溫度:37攝氏度,培養箱濕度為70%-80%。 |
|
凍存條件 |
凍存液:90%FBS,DMSO 10%, 或使用非程序凍存液:官網貨號JY-H040 |
|
保藏機構 |
ATCC; CRL-1589 |
|
產品使用 |
僅限于科學研究,不可作為動物或人類疾病的治療產品使用。 |
