|
種屬 |
人 |
|
別稱 |
BV173 |
|
組織來源 |
外周血 |
|
疾病 |
慢性粒細胞白血病 |
|
傳代比例/細胞消化 |
1:2傳代, |
|
完全培養基配置 |
RPMI1640培養基;10%胎牛血清;1%雙抗 |
|
簡介 |
established from the peripheral blood of a 45-year-old man with chronic myeloid leukemia (CML) in blast crisis in 1980; contains the t(9;22) leading to BCR-ABL1 e13-a2 (b2-a2) fusion gene. Exome and RNA sequence data are available (see Ref 18187 andExome sequenceandRNA-Seq) |
|
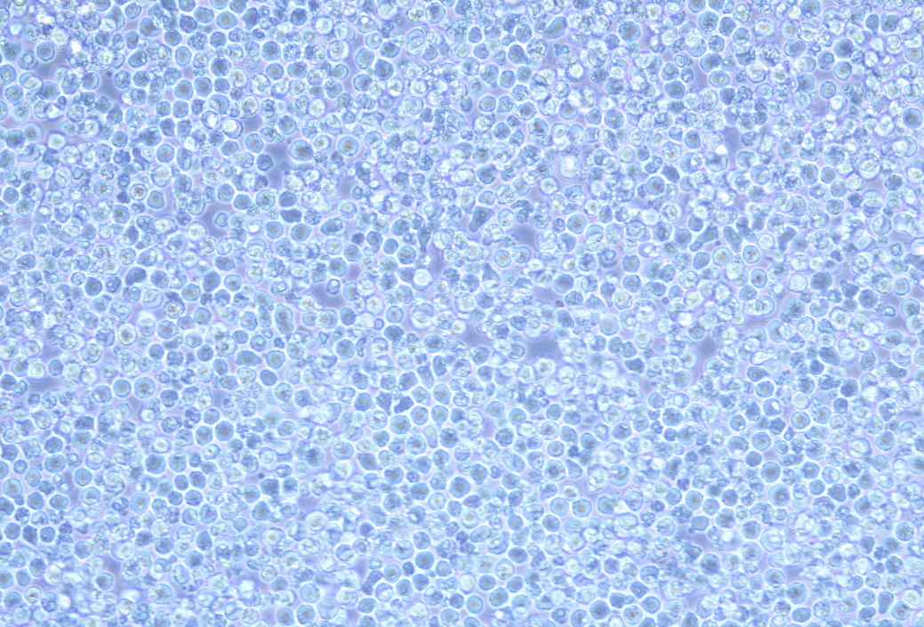
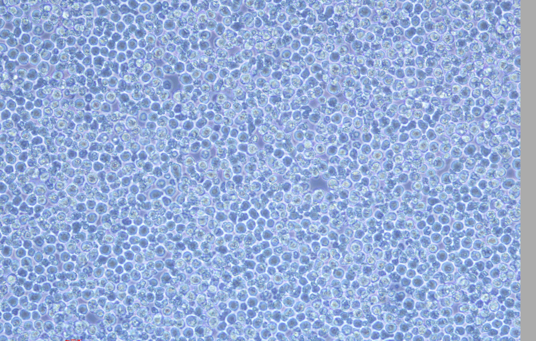
形態 |
圓形細胞樣 |
|
生長特征 |
懸浮生長 |
|
倍增時間 |
每周 2 至 3 次 |
|
STR |
Amelogenin X CSF1PO 11,12 D2S1338 24,25 D3S1358 16,17 D5S818 10,12 D7S820 10,11 D8S1179 12,13 D13S317 8,10 D16S539 11,13 D18S51 12,16 D19S433 13 D21S11 30,32 FGA 20,24 Penta D 11 Penta E 12,16 TH01 6,9.3 TPOX 8,10 vWA 16 |
|
培養條件 |
氣相:空氣,95%;二氧化碳,5%。 溫度:37攝氏度,培養箱濕度為70%-80%。 |
|
凍存條件 |
凍存液:90%FBS,DMSO 10%, 或使用非程序凍存液:官網貨號JY-H040 |
|
保藏機構 |
DSMZ;ACC-20 |
|
產品使用 |
僅限于科學研究,不可作為動物或人類疾病的治療產品使用。 |



