|
種屬 |
小鼠 |
|
別稱 |
HL1 |
|
組織來源 |
小鼠心肌細胞 |
|
疾病 |
轉化細胞系 |
|
傳代比例/細胞消化 |
1 :2傳代 ,消化2-3分鐘 |
|
完全培養基配置 |
Claycomb Basal Medium培養基;10%胎牛血清 ;2mM Glutamax;1%Anti-Anti;100 μM Norepinephrine; |
|
簡介 |
HL-1 Cardiac Muscle Cell Line is an immortalized mouse cardiomyocyte cell line able to continuously divide and spontaneously contract while maintaining a differentiated cardiac phenotype. HL-1 can be serially passaged without losing its differentiated cardiac myocyte phenotype, including morphological, biochemical, and electrophysiological properties. HL-1 cells have been used to study normal cardiomyocyte function with regard to signaling, electrical, metabolic, and transcriptional regulation as well as to address pathological conditions such as hypoxia, hyperglycemia-hyperinsulinemia, apoptosis, and ischemia-reperfusion. |
|
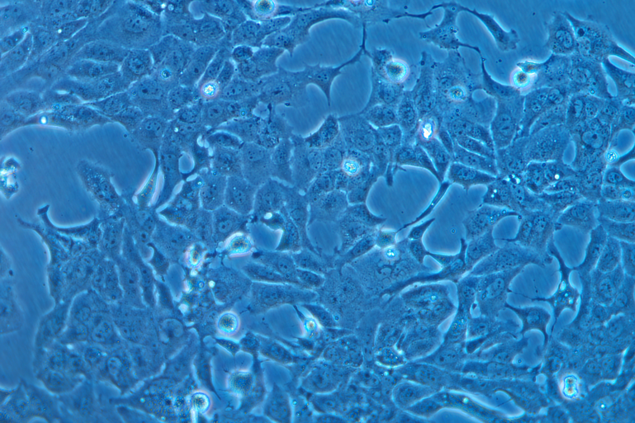
形態 |
心肌細胞樣 |
|
生長特征 |
貼壁生長 |
|
倍增時間 |
每周 2 至 3 次 |
|
培養條件 |
氣相 :空氣 ,95% ;二氧化碳 ,5%。 溫度 :37攝氏度 ,培養箱濕度為70%-80%。 |
|
凍存條件 |
凍存液 :90%FBS ,DMSO 10%, 或使用非程序凍存液 :官網貨號JY-H040 |
|
保藏機構 |
Millipore;SCC065 |
|
備注 |
該細胞貼壁性不牢,需使用Corning的cellbind細胞培養瓶,貨號是3289 ,或者用包被液包被的培養板應放在培養箱(37℃)下至24h以上,或者提前一天。 |
|
產品使用 |
僅限于科學研究 ,不可作為動物或人類疾病的治療產品使用。 |




