|
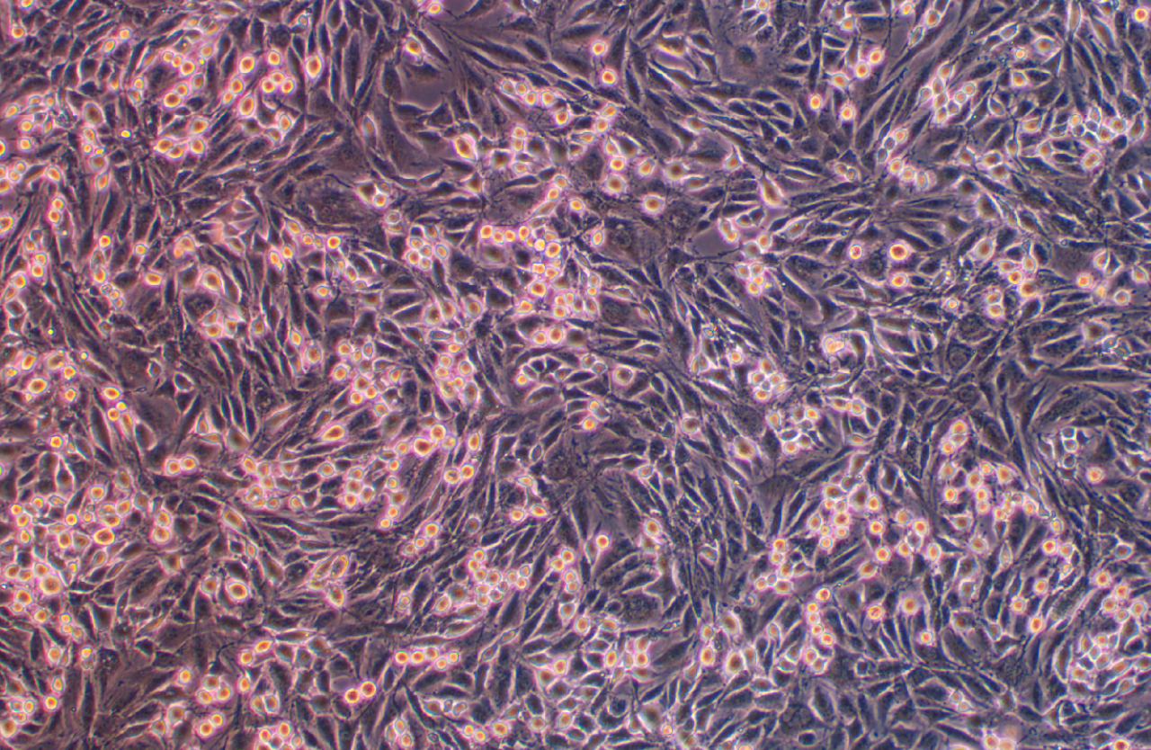
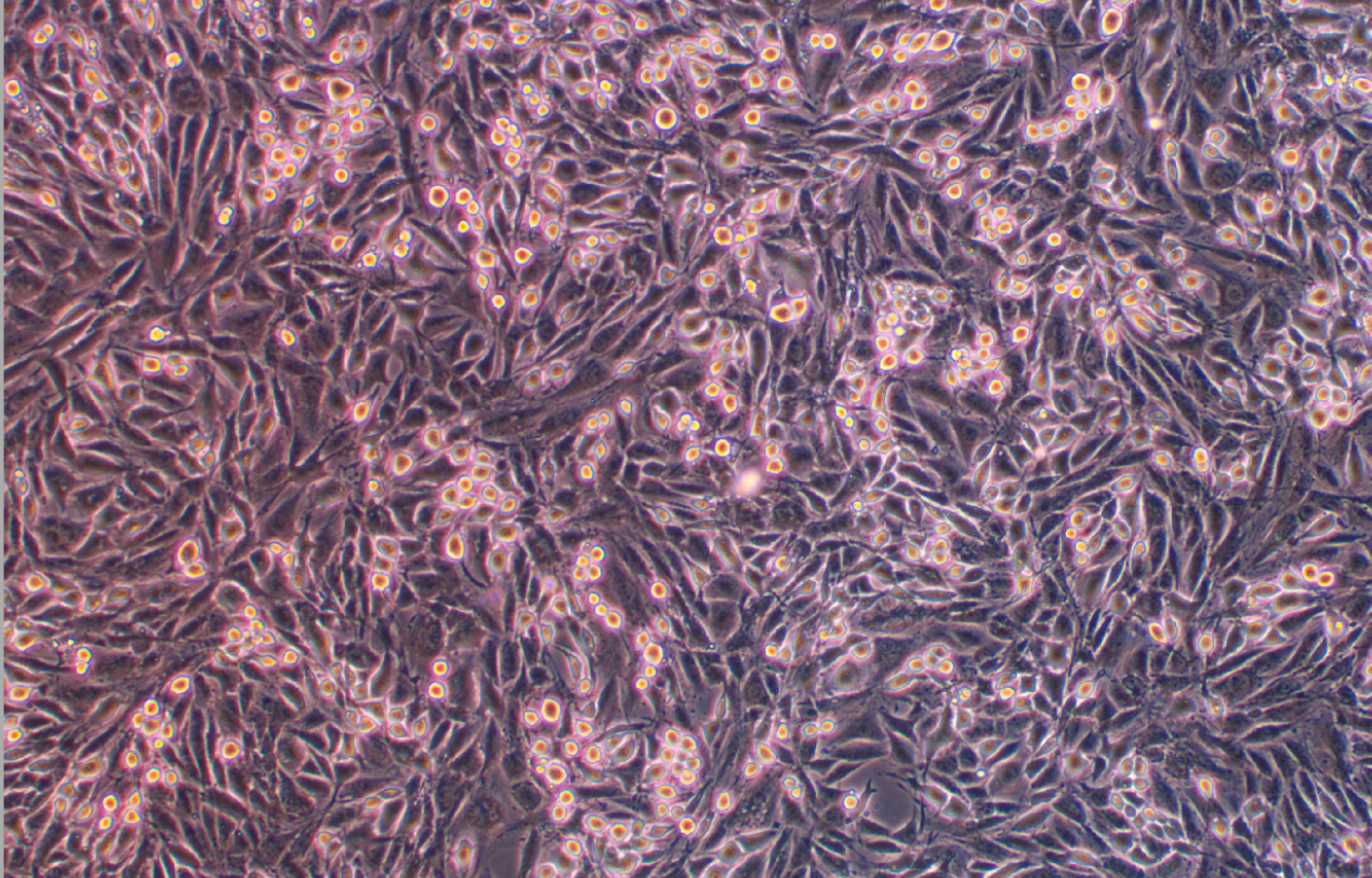
種屬 |
大鼠 |
|
別稱 |
L-6; L-6 myoblast |
|
組織來源 |
骨胳肌,成肌細胞 |
|
疾病 |
轉化細胞系 |
|
傳代比例/細胞消化 |
1:2傳代,消化1-2分鐘 |
|
完全培養基配置 |
DMEM養基;10%胎牛血清;1%雙抗 |
|
簡介 |
該細胞是Yaffe在甲基膽蒽存在的情況下從大鼠大腿肌原代培養的最初兩代細胞中分離得到的;在培養基中融合形成多核的肌管和橫紋肌纖維,細胞融合的程度隨著代數的增加而下降,因此細胞應低代次冷凍并周期性地重新克隆以選擇融合能力強的細胞。鼠痘病毒陰性。該細胞應在達匯合狀態前傳代,以延緩細胞分化能力的喪失。 |
|
形態 |
成肌細胞樣 |
|
生長特征 |
貼壁生長 |
|
倍增時間 |
每周 2 至 3 次 |
|
基因表達 |
myosin |
|
培養條件 |
氣相:空氣,95%;二氧化碳,5%。 溫度:37攝氏度,培養箱濕度為70%-80%。 |
|
凍存條件 |
凍存液:90%FBS,DMSO 10%, 或使用非程序凍存液:官網貨號JY-H040 |
|
保藏機構 |
ATCC; CRL-1458 |
|
產品使用 |
僅限于科學研究,不可作為動物或人類疾病的治療產品使用。 |

